Bon à savoir!
De nous jours de plus en plus d’hommes rencontrent des difficultés à la procréation et ne prennent pas très souvent la peine de chercher profondément l’origine de leur problème. Ils préfèrent recourir à des traitements à l’aveugle qui n’aboutissent pas très souvent à grand chose.
Les anomalies spermatiques peuvent atteindre les personnes de tout âge et en général plus le temps passe plus la situation va s’empirer. Les hommes brillent le plus souvent par leur indiscipline tant dans la réalisation des examens que le suivit de traitement. Ce qui fait que rarement on arrive à de bons résultats.
Nous allons vous présenter ce matin deux prélèvements de spermatozoïdes qui ont été réalisés chez deux patients venus consulter avec leurs compagnes pour difficultés de procréation dans leurs couples :
– Dans le premier prélèvement vous allez observer des spermatozoïdes en grande quantité et très mobiles. Ce prélèvement a été réalisé chez un homme de 40 ans qui exerce une activité de bureau et qui n’a pas d’antécédents particuliers;
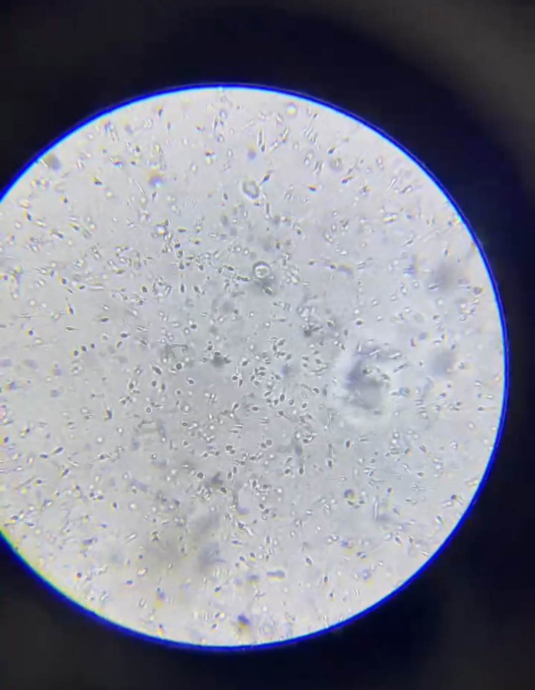
– Dans le deuxième prélèvement vous observerez qu’il n’y a aucun spermatozoïde! Il s’agit là d’un patient azoospermique âgé de 30 ans ayant des antécédents un peu compliqué (consommation de chicha et de médicaments traditionnels de toute sorte depuis plusieurs années, consommation d’alcool…)
Ce dernier vit en couple depuis 03 ans et chaque fois qu’il faisait sons spermogramme et qu’on lui disait qu’il y avait des problèmes, au lieu de prendre le traitement de manière assidue il se retournait toujours vers les traitements traditionnels sans suite favorable.
Aujourd’hui il se retrouve dans une situation plutôt compliquée et presque irréversible qui est l’azoospermie! Que celui qui a des oreilles pour comprendre comprenne.
L’obstétricien


